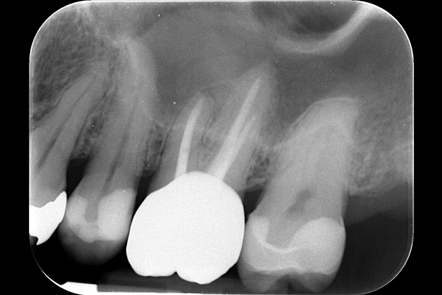
左上の奥歯の根の先に
レントゲンで黒い影が
あると言われた
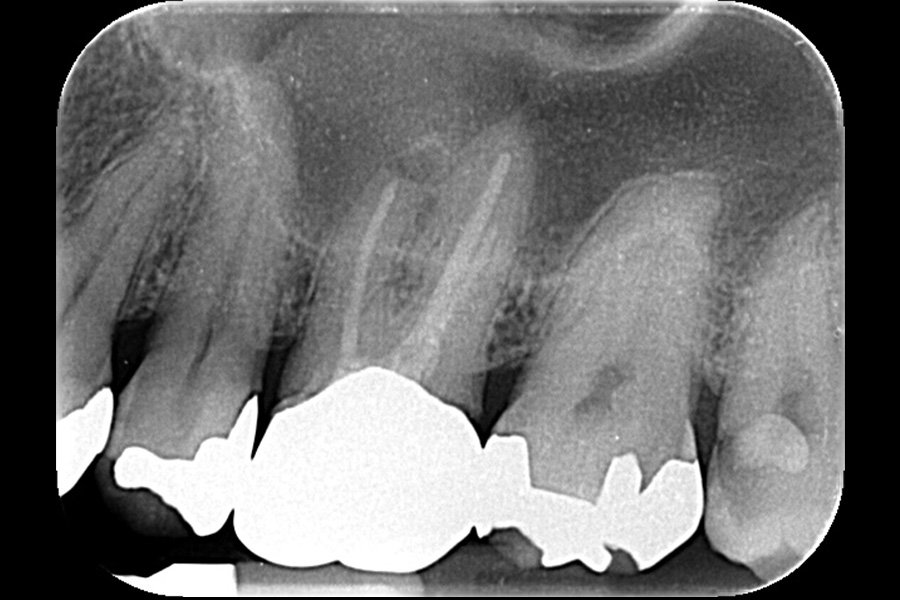
治療前
治療後
治療前
治療後
| 担当医 | 望月 綜太 |
|---|---|
| 主訴 | 左上の奥歯の根の先にレントゲンで黒い影があると言われた |
| 期間 | 約3ヶ月 |
| 費用 | およそ21万円(再根管治療) |
| 治療内容 | 上顎左側第一大臼歯 再根管治療 |
| 治療に伴うリスク | 残存歯質が歯肉より深い場合は歯の保存が困難、経過によっては外科的歯内療法が必要 |









