- ホーム
- 症例
症例
右上の奥歯の
歯茎が腫れている
右上の奥歯の
歯茎が腫れている
右下の歯に
強い痛みが出て
その後痛みが
なくなった
右上の前歯の
歯茎が腫れている
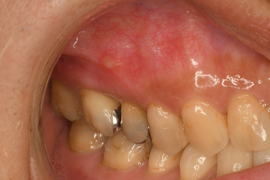
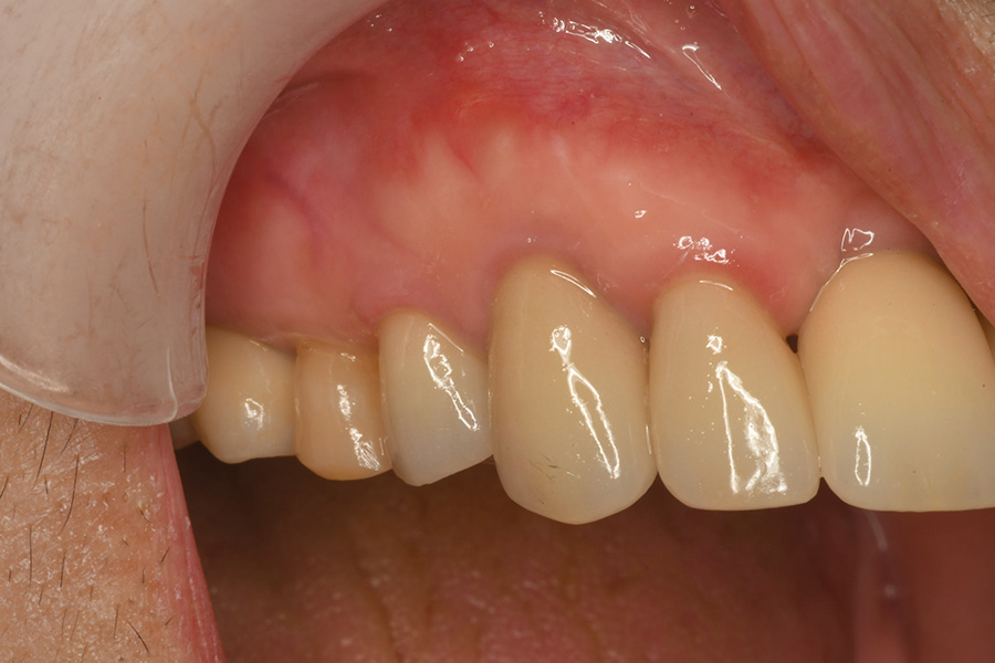
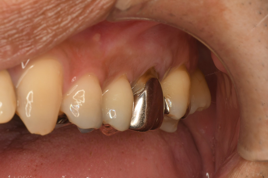
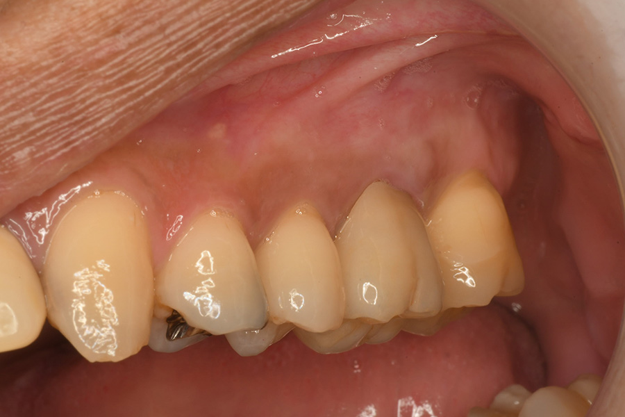
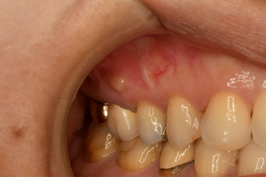
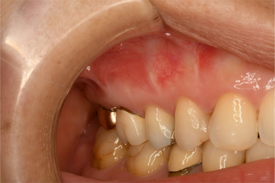
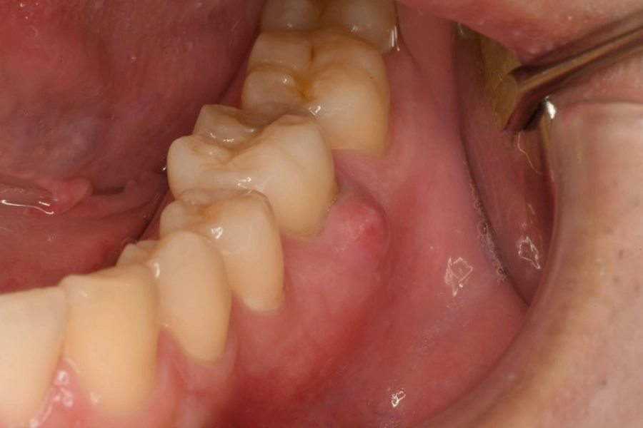
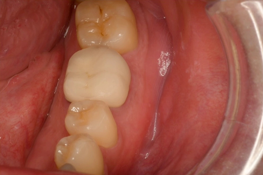
左上の奥歯の根の先に
レントゲンで黒い影が
あると言われた
- 担当医
- 望月 綜太
- 主訴
- 左上の奥歯の根の先にレントゲンで黒い影があると言われた
- 期間
- 約3ヶ月
- 費用
- およそ21万円(再根管治療)
- 治療内容
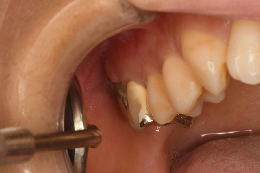
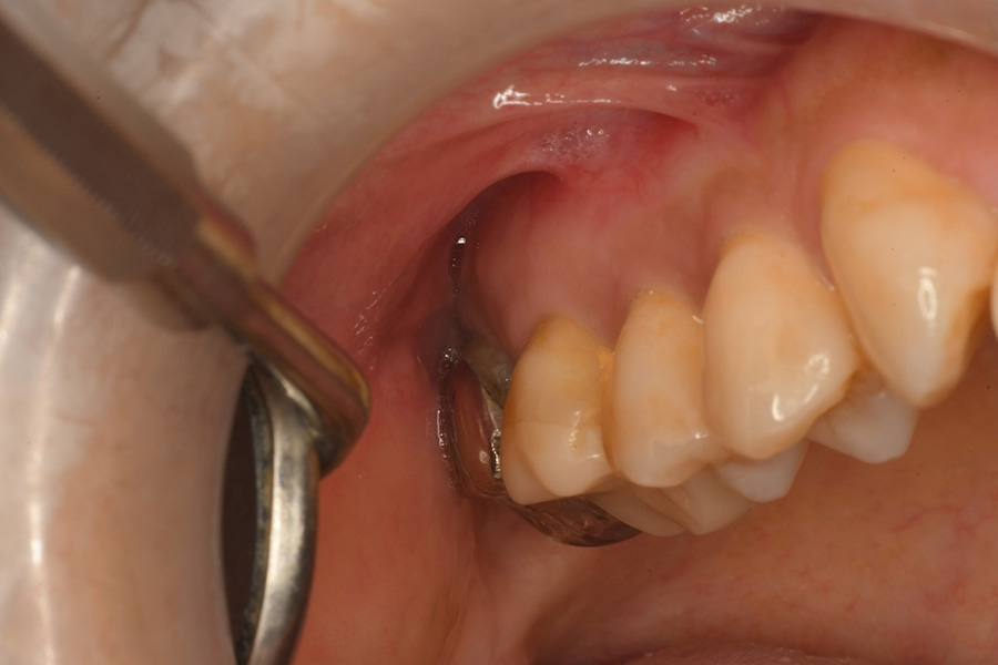
- 上顎左側第一大臼歯
再根管治療
- 治療に伴うリスク
- 残存歯質が歯肉より深い場合は歯の保存が困難、経過によっては外科的歯内療法が必要



















