歯の破折で抜歯と言われた
他院様で抜歯と診断された場合

歯が割れた場合に
抜歯を勧められる理由
ケガによる骨折や疲労骨折と同様に、大きな力が加わったり日常的な負荷が積み重なったりすることで、歯もヒビが入ったり割れたりすることがあります。骨折であれば位置を戻して安静にしていれば骨は修復できますが、残念ながら歯にはそのような修復機能がありません。深く割れてしまうと、歯の形をしたトゲが歯茎に刺さった状態と同じといえます。
このような歯の場合、治療としては摘出が必要です。それはつまり抜歯となります。特に、限局的な深い歯周ポケットが存在する場合は、破折線が歯茎の下まで深く伸展していることを示していますので、早めの抜歯を勧められることが一般的です。
歯を残せる可能性があるケース
外傷で歯が欠けた際に、破折線が歯の上部(歯肉縁上)に留まっていて、歯茎の下(歯肉縁下)深くまで伸展していない場合は、歯を保存できる可能性があります。なお、破折線の位置と深さの確認のために、必要によっては虫歯や既存の詰め物・被せ物を外して精査する場合があります。
治療中の様子
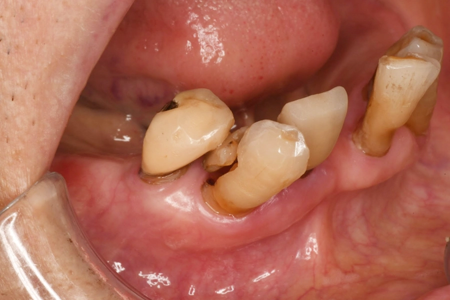
歯冠部分に限局した歯の破折

破折片の除去

割れた歯を残す方法
について

割れた歯を残す方法
割れた歯の診査で重要なことは、割れた位置とひび割れの深さです。強くぶつけて歯の上部が欠けた場合は、歯の神経(歯髄)の露出の有無を精査し、可能であれば歯髄も残すようにして歯を保存します。その際は歯髄保存療法とともに修復処置や補綴処置を行います。
歯の上部表面にできた亀裂が原因で歯がズキズキする場合、亀裂からの細菌の侵入および歯髄炎が疑われます。その際は歯髄を取り除く抜髄を行い、亀裂を修復して補綴治療を行うことで歯を残します。
もし割れた位置が深い場合や歯根破折が疑われる場合は、保存治療が不可能となります。特に、過去に根の治療を行っている歯(既根管治療歯)では垂直性歯根破折が生じやすく、被せ物が入っていることで割れている状態が確認しずらい場合があります。精査のために既存の歯科材料を外すことがあります。
治療方法による
メリット・デメリット

歯髄保存療法の
メリットとデメリット
歯髄保存療法を行って歯を保存する場合、歯髄を残すことができます。特に小・中・高校生といった若い年齢の永久歯で歯髄保存療法を行うことは、歯根の長さや象牙質の厚みの成長を維持できるので非常に効果的です。一方で、歯髄に感染が及んでいたり、亀裂が伸展していたりすると、処置後に症状が持続する場合があります。その際は抜髄が必要となります。
抜髄のメリットとデメリット
抜髄は歯の神経組織を取り除く治療のため、処置後はズキズキするような痛みが出ることはありません。ただし、次に虫歯になっても自覚症状が出ないため、気付かずに虫歯が大きく進行してしまうリスクがあります。治療の後も定期的なメンテナンスが重要です。
歯根破折のメリットとデメリット
歯根破折が疑われる場合は抜歯になります。原因を除去することで症状はなくなりますが、歯もなくなってしまうので、その後の治療方法を検討する必要があります。
歯が割れたときの注意点

割れた歯の状態で注意すべきこと
歯冠破折で
歯髄が露出(露髄)している場合
感染が深刻にならないうちに速やかに治療を行うことが推奨されます。また、破片があれば接着操作が可能な場合もあります。その際は破片と一緒にできるだけ速やかに治療を開始してください。
亀裂が原因で
不可逆性歯髄炎になっている場合
そのまま様子をみていても症状が改善することはありません。精査で亀裂が特定できる場合は根管治療と亀裂の修復をお勧めします。
垂直性歯根破折で
歯茎の中で歯が割れてしまっている場合
残念ですが保存治療ができません。日常生活で噛んで歯が当たるたびに痛みを誘発したり、破折線に沿って唾液と一緒に口腔内細菌が歯茎深くに侵入することで腫れを繰り返したりします。症状が強い場合は抗菌薬・鎮痛薬を使いますが、できるだけ速やかな抜歯と、その後どのように口腔機能を回復するかの相談が必要です。
日常生活や食事で
気をつけたいポイント
露髄している場合
冷たいもの・熱いものがしみることがあります。熱による誘発痛がある場合は、極端に冷たいもの・熱いものの飲食はお控えください。
亀裂や垂直性歯根破折の場合
噛む力(咬合力)によって状況が悪化することが考えられます。硬いものや繰り返し噛まないと飲み込めないような食事にお気をつけください。フランスパンやローストビーフ、ほうれん草のおひたしといったものは注意が必要です。また、ナッツ類がお好きな方も診察・治療までは控えた方が良いでしょう。夏場では氷を直接お口に入れてガリガリ噛むことがお好きな方がいらっしゃいます。そのような行為も歯に負担をかけますので、気をつけた方が良いでしょう。
歯が割れたまま放置していると
放置によって生じるリスク
歯冠破折で露髄した歯を放置すると、歯髄への細菌感染が広がり、歯髄保存療法が困難になってしまう場合があります。早めの対応であれば歯髄が残せたものが、抜髄になってしまうことが考えられますので、受傷などで歯に怪我をされた場合は早めに受診ください。
歯冠部の亀裂で歯髄炎になった場合、根管治療ののちに被せ物を入れて歯が割れないように包んであげることが推奨されます。放置してしまうと亀裂が伸展して歯根破折になりかねません。垂直性歯根破折へと発展して限局的に歯周ポケットが深くなると、歯の保存は困難です。抜歯になる場合がございます。
すでに垂直性歯根破折している歯を放置すると、腫れを繰り返したり、急に痛みが生じたりする場合があります。そのままにしておいても歯はくっつかないため、できるだけ早めに歯の抜歯とその後の治療のご相談を行うことをお勧めいたします。
早めに対処することで得られるメリット
歯の亀裂、ひび割れは時間とともに伸展していき、歯周組織の破壊を伴うと腫れや痛みを誘発することにもなります。そのため、早めに対処することで重症化を避けることができます。
亀裂が浅ければ歯の保存が可能な場合もあります。そのため、早めの受診や診察をお勧めします。