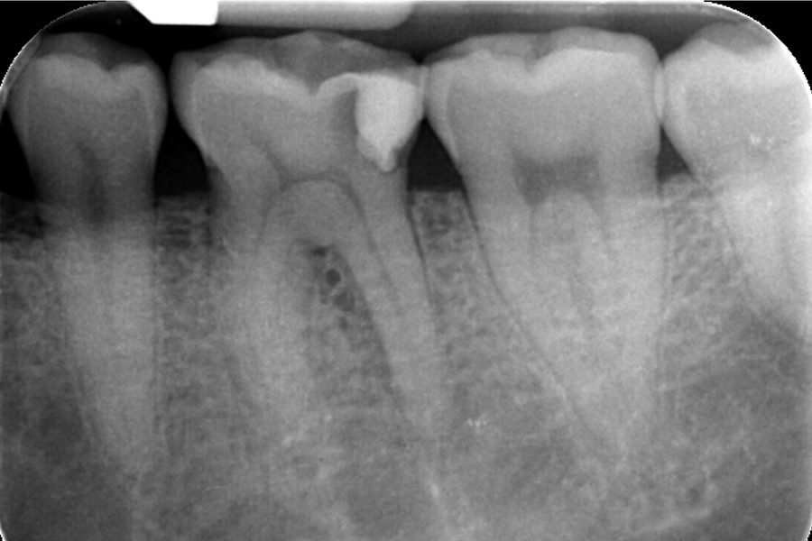
虫歯が原因で歯ぐきが腫れてきた
治療前

治療後

治療前

治療後

担当医 | 田中 利典 |
---|---|
主訴 | 虫歯が原因で歯ぐきが腫れてきた |
期間 | 約1.5ヶ月 |
費用 | およそ18万円(根管治療) |
治療内容 | 下顎左側第一大臼歯 根管治療 |
治療に伴うリスク | 残存歯質が歯肉より深い場合は歯の保存が困難、経過によっては外科的歯内療法が必要 |