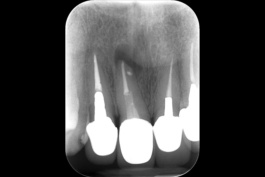
右上の前歯の
歯茎が腫れている
治療前
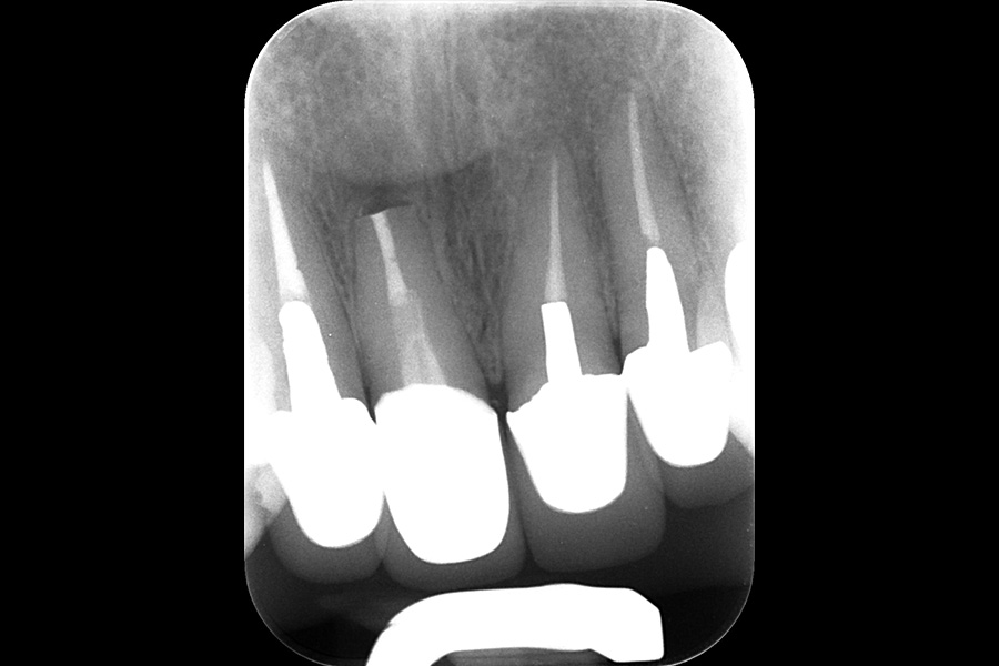
治療後
治療前
治療後
| 担当医 | 望月 綜太 |
|---|---|
| 主訴 | 右上の前歯の歯茎が腫れている |
| 期間 | 約3ヶ月 |
| 費用 | およそ18万円(外科的歯内療法) |
| 治療内容 | 上顎左側中切歯 外科的歯内療法 |
| 治療に伴うリスク | 歯肉の退縮、歯根の短縮 |









