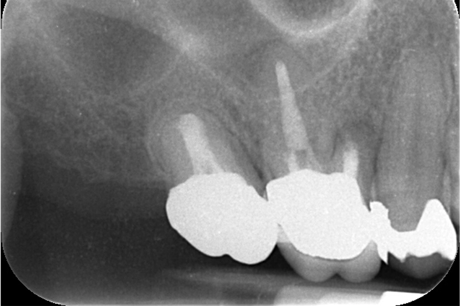
過去に手術を行った
ところが再発している
治療前

治療後

治療前

治療後

担当医 | 田中 利典 |
---|---|
主訴 | 過去に手術を行ったところが再発している |
期間 | 約2週間 |
費用 | およそ25万円(外科的歯内療法) |
治療内容 | 上顎右側第一大臼歯 外科的歯内療法 |
治療に伴うリスク | 歯肉の退縮、病変の位置によっては外科的歯内療法が適応外 |